عاجل
شاهد الآن.. بث مباشر لمباراة الهلال والفتح في الدوري السعودي روشن 2025-2026 بث مباشر الآن.. مباراة ليفربول ونوتنغهام فورست في الجولة 12 من الدوري الإنجليزي 2026 شاهد بث مباشر.. كيفية متابعة مباراة ليفربول ونوتنغهام فورست في الدوري الإنجليزي 2026 محمد شاهين يطلق شرارة موسمه الغنائي الجديد.. كليبات جاهزة و3 أغاني قوية تشعل المنافسة قبل طرحها خالد الغندور: مفاوضات شفهية بين الأهلي وبتروجت لضم هادي رياض
بوابة الفجر
بوابة الفجر
  • أخبار مصر
  • تقارير وحوارات
  • الاقتصاد
  • الفجر الفني
  • الفجر الرياضي
  • عربي ودولي
  • توك شو
  • القائمة
القائمة
facebook twitter youtube instagram rss feed
  • الرئيسية
  • أخبار مصر
  • تقارير وحوارات
  • الاقتصاد
  • الفجر الفني
  • الفجر الرياضي
  • عربي ودولي
  • توك شو
  • محافظات
  • حوادث
  • صور
  • الفجر السياسي
  • الفجر الطبي
  • تكنولوجى
  • سيارات
  • مقالات الرأي
  • ركن القراء
  • منوعات
  • إسلاميات
  • أبراج
  • كاريكاتير
  • فضفضة
  • طلاب وجامعات
  • أقباط وكنائس
  • العدد الأسبوعي
  • العدو الصهيوني
  • السعودية
  • انفوجراف
  • رياضة
  • تونس 365
  • القائمة
  1. الرئيسية
  2. المرضى صفحة 3

المرضى صفحة 3

نائب محافظ البحيرة تتفقد مستشفى إيتاي البارود وتؤكد توافر المستلزمات الطبية

نائب محافظ البحيرة تتفقد مستشفى إيتاي البارود وتؤكد توافر المستلزمات الطبية

05/June/2020
فريق برشلونة الطبي يقدم وسيلة جديدة في علاج

فريق برشلونة الطبي يقدم وسيلة جديدة في علاج "كورونا"

03/June/2020
النيابة الإدارية تنشئ وحدة الرعاية الإنسانية لدعم أسر أعضائها

النيابة الإدارية تنشئ وحدة الرعاية الإنسانية لدعم أسر أعضائها

03/June/2020

"صحة الغربية" توزع أدوية على مرضى كورونا في المنازل

29/May/2020
قس بالمنيا يرسل كراتين رمضان للمرضى والطاقم الطبي بمستشفى ملوي

قس بالمنيا يرسل كراتين رمضان للمرضى والطاقم الطبي بمستشفى ملوي

29/April/2020
نائبة تطالب البرلمان بسرعة مناقشة قانون المسئولية الطبية

نائبة تطالب البرلمان بسرعة مناقشة قانون المسئولية الطبية

12/April/2020
طبيب من داخل العزل الصحي يروي تفاصيل جديدة:

طبيب من داخل العزل الصحي يروي تفاصيل جديدة: "مهمتنا زي الجيش"

31/March/2020
الداخلية توقع الكشف الطبي على المرضى وصرف الأدوية لهم بالمجان

الداخلية توقع الكشف الطبي على المرضى وصرف الأدوية لهم بالمجان

09/March/2020
أمين صندوق

أمين صندوق "الأطباء" يكشف موقف النقابة من حظر النقاب بالمستشفيات

04/February/2020
رئيس جامعة جنوب الوادي: رفع تذكرة الزيارة لمصلحة المرضى

رئيس جامعة جنوب الوادي: رفع تذكرة الزيارة لمصلحة المرضى

23/January/2020
تعطل أشعة الرنين بمستشفى الدمرداش ومشاجرات بين المرضى والموظفين (صور)

تعطل أشعة الرنين بمستشفى الدمرداش ومشاجرات بين المرضى والموظفين (صور)

09/December/2019
لبنان: المستشفيات تهدد بالإضراب عن استقبال المرضى.. في هذه الحالة

لبنان: المستشفيات تهدد بالإضراب عن استقبال المرضى.. في هذه الحالة

08/November/2019
أشرف خطاب.. طبيب في ثوب البطولة بحملة تبرع لشراء

أشرف خطاب.. طبيب في ثوب البطولة بحملة تبرع لشراء "جهاز غسيل كلوي"

01/November/2019

"الجوازات" تواصل تسهيل الخدمات لكبار السن وذوي الإعاقة والمرضى

06/October/2019
بالأرقام .. التفاصيل الكاملة لمبادرة القضاء على قوائم الانتظار التي يرعاها

بالأرقام .. التفاصيل الكاملة لمبادرة القضاء على قوائم الانتظار التي يرعاها "السيسي"

12/September/2019
الأحوال المدنية تقدم خدمة

الأحوال المدنية تقدم خدمة "تقدير" لكبار السن والمرضى بمكة مول

16/May/2019

"الصحة" تحذر المرضى: لا تكونوا ضحية لـ "بائعي الوهم"

23/December/2018
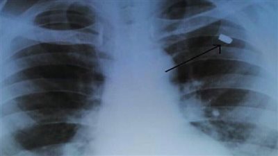
أصيب بها قبل 30 عاما.. أطباء يستخرجون رصاصة من صدر رجل!

أصيب بها قبل 30 عاما.. أطباء يستخرجون رصاصة من صدر رجل!

26/November/2018
لماذا تتغير رائحتك عند زيارة المريض؟!

لماذا تتغير رائحتك عند زيارة المريض؟!

26/September/2018

"شاروبيم" يزور مستشفى شربين العام ويستمع للمرضى (صور)

19/September/2018
محافظ الفيوم يفاجئ المستشفى العام بزيارة ويطالب وكيل وزارة الصحة بتقديم خدمة متميزة للمرضى (صور)

محافظ الفيوم يفاجئ المستشفى العام بزيارة ويطالب وكيل وزارة الصحة بتقديم خدمة متميزة للمرضى (صور)

12/September/2018

"الأطباء العرب" ينظم قافلة طبية مجانية بمحافظة كفر الشيخ

09/September/2018
مستشفيات الشرطة مفتوحة للمرضى وصرف الأدوية

مستشفيات الشرطة مفتوحة للمرضى وصرف الأدوية

09/September/2018
عاجل.. أخبار السعودية اليوم | مدير صحة عسير يؤكد على أهمية التعامل بشكل احترافي مع بلاغات المرضى

عاجل.. أخبار السعودية اليوم | مدير صحة عسير يؤكد على أهمية التعامل بشكل احترافي مع بلاغات المرضى

07/September/2018
عاجل.. أخبار السعودية اليوم | حماية المستهلك: ليس من حق المستشفيات احتجاز المرضى والجثث مقابل مستحقاتها

عاجل.. أخبار السعودية اليوم | حماية المستهلك: ليس من حق المستشفيات احتجاز المرضى والجثث مقابل مستحقاتها

04/September/2018
تعرف على أسباب ارتفاع نسبة الدهون  لدى المرضى

تعرف على أسباب ارتفاع نسبة الدهون لدى المرضى

19/August/2018
تنفيذا لتوجيهات

تنفيذا لتوجيهات "السيسي".. إنهاء معاناة 7 آلاف مريض بقوائم الانتظار

18/August/2018
عاجل..اخبار السعودية اليوم | 3 أسباب تدفع الأطباء لمقاطعة حديث مرضاهم عن الآلام

عاجل..اخبار السعودية اليوم | 3 أسباب تدفع الأطباء لمقاطعة حديث مرضاهم عن الآلام

01/August/2018

"المضحي دائمًا".. كم مرة أعلن "السيسي" تضحيته من أجل مصر وأهلها؟ (فيديو)

29/July/2018
معهد الأبحاث الرمدية: كل المرضى في مصر تحت رعاية الدولة

معهد الأبحاث الرمدية: كل المرضى في مصر تحت رعاية الدولة

27/July/2018
  • 1
  • 2
  • 3
  • 4
  • 5
بوابة الفجر
facebook twitter youtube instagram rss feed
من نحن - إتصل بنا - أعلن معنا - بيان الخصوصية
أخبار مصر تقارير وحوارات الاقتصاد الفجر الفني الفجر الرياضي عربي ودولي توك شو محافظات حوادث صور الفجر السياسي الفجر الطبي تكنولوجى سيارات مقالات الرأي ركن القراء منوعات إسلاميات أبراج كاريكاتير فضفضة طلاب وجامعات أقباط وكنائس العدد الأسبوعي العدو الصهيوني السعودية انفوجراف رياضة تونس 365
© 2021 elfagr.org All Rights Reserved. | sync solutions
بوابة الفجر
  • الرئيسية
  • أخبار مصر
  • تقارير وحوارات
  • الاقتصاد
  • الفجر الفني
  • الفجر الرياضي
  • عربي ودولي
  • توك شو
  • محافظات
  • حوادث
  • صور
  • الفجر السياسي
  • الفجر الطبي
  • تكنولوجى
  • سيارات
  • مقالات الرأي
  • ركن القراء
  • منوعات
  • إسلاميات
  • أبراج
  • كاريكاتير
  • فضفضة
  • طلاب وجامعات
  • أقباط وكنائس
  • العدد الأسبوعي
  • العدو الصهيوني
  • السعودية
  • انفوجراف
  • رياضة
  • تونس 365
facebook twitter youtube instagram rss feed